在上一篇文章中,小编为您详细介绍了关于《优酷掉队,阿里还能“养”多久?》相关知识。本篇中小编将再为您讲解标题美国医生:双肺移植手术是拯救一名年轻新冠幸存者的唯一方法。
原标题:美国医生:双肺移植手术是拯救一名年轻新冠幸存者的唯一方法 来源:cnBeta.COM
即使新冠病毒治疗最终能有效中和病原体,COVID-19重症患者的肺部也可能受到严重损伤。一名年轻女性在重症监护室与COVID-19抗争了两个月后,需要进行双肺移植手术。芝加哥西北纪念医院的一个团队为该患者进行了双肺移植手术,这是美国首次为COVID-19幸存者进行肺移植手术。

在美国有一位20多岁的女性,在依靠呼吸机与COVID-19进行了数周的抗争后,这名患者幸存了下来。但她在这个过程中失去了双肺的功能,因为双肺在与病毒的斗争中受损严重,以至于患者生命垂危。挽救她生命的唯一办法就是进行双肺移植手术,而这正是芝加哥西北纪念医院的医生们所做的。首次为COVID-19患者进行的这种手术是成功的,但患者还没有脱离危险。她还有很长的康复之路要走,下一个障碍是她的身体要接受新的肺部。
医生用呼吸机和ECMO为这名在重症监护室里的患者治疗了两个月。后者的目的是清除血液中的二氧化碳,并用氧气代替,这是一种发生在肺部的气体交换。据NPR报道,她清除了体内的病毒,但她的病情仍然很严重。到6月初,她的肺部出现了不可逆的变化,肾脏和肝脏也出现了衰竭的迹象。
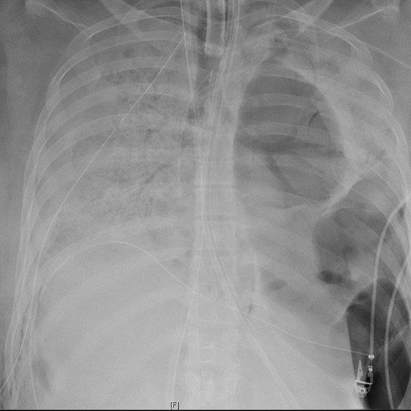
“由于COVID,她在肺部内部形成了这些空腔,这些空腔已经被感染了,这些细菌正在推动败血症的发生,”西北大学的胸外科主任Ankit Bharat博士告诉NPR。随后的图片显示了患者的胸部X光片,它揭示了那些异常空腔的存在(较暗的区域),以及患者的一个受损肺部。

"她病得很重。事实上,我可以毫不犹豫地说,她是我进行移植手术的患者中病得最重的。" Bharat表示,他相信她会康复并恢复体力。不过,她现在还在使用ECMO机器,她开始产生针对移植的抗体,所以她现在正在服用药物帮助身体接受移植。
总的来说,她的病情稳定,移植后其他器官已经完全恢复。不过,她的身体仍然很虚弱,无法自行站立或深呼吸。
对于COVID-19的幸存者来说,肺移植可能是一种解决方案。外媒报道过越南的一个类似病例。然而,并不是所有出现并发症的COVID-19患者都有资格进行移植。正如报告所解释的那样,有可能发展成重症的患者要么年龄较大,要么有预先存在的疾病。因此,他们也不符合移植条件。然后是可用供应的问题,因为可能没有足够的肺来满足增加的需求。据医生说,即使是患者收到的肺也可能不符合标准,西北团队花了两天半的时间来修复它们,使它们“具有特殊的移植质量”。
西北纪念医院团队已经与加州、纽约州和德克萨斯州的中心取得联系,为其他患者提供服务。
编后语:关于《美国医生:双肺移植手术是拯救一名年轻新冠幸存者的唯一方法》关于知识就介绍到这里,希望本站内容能让您有所收获,如有疑问可跟帖留言,值班小编第一时间回复。 下一篇内容是有关《滴滴网约车执行总裁:滴滴司机不是犯罪的代名词》,感兴趣的同学可以点击进去看看。
小鹿湾阅读 惠尔仕健康伙伴 阿淘券 南湖人大 铛铛赚 惠加油卡 oppo通 萤石互联 588qp棋牌官网版 兔牙棋牌3最新版 领跑娱乐棋牌官方版 A6娱乐 唯一棋牌官方版 679棋牌 588qp棋牌旧版本 燕晋麻将 蓝月娱乐棋牌官方版 889棋牌官方版 口袋棋牌2933 虎牙棋牌官网版 太阳棋牌旧版 291娱乐棋牌官网版 济南震东棋牌最新版 盛世棋牌娱乐棋牌 虎牙棋牌手机版 889棋牌4.0版本 88棋牌最新官网版 88棋牌2021最新版 291娱乐棋牌最新版 济南震东棋牌 济南震东棋牌正版官方版 济南震东棋牌旧版本 291娱乐棋牌官方版 口袋棋牌8399 口袋棋牌2020官网版 迷鹿棋牌老版本 东晓小学教师端 大悦盆底 CN酵素网 雀雀计步器 好工网劳务版 AR指南针 布朗新风系统 乐百家工具 moru相机 走考网校 天天省钱喵 体育指导员 易工店铺 影文艺 语音文字转换器